技术资料/正文
415 人阅读发布时间:2022-04-06 13:12
Strategies for Modulating Oxidative Stress under Diverse Physiological and Pathological Conditions
异丙酚通过降低钙调神经磷酸酶诱导的钙过载和激活YAP信号来保护海马神经元免受低再氧损伤

缺血性卒中已成为全球发病和死亡的主要原因之一。对于治疗缺血性损伤,重建缺血区血供是最有效的方法。然而,血供突然恢复后的脑缺血-再灌注(I/R)损伤,导致神经元、胶质细胞和脑血管功能障碍,仍威胁着脑卒中患者的生存。既往研究表明,神经元凋亡是I/R损伤的相关机制,其中锥体神经元是对I/R损伤诱导的凋亡最脆弱的神经细胞。近几十年来,开展了大量研究预防海马神经元I/R损伤。其中,麻醉药物被认为通过抑制细胞凋亡对脑I/R损伤具有神经保护作用。
异丙酚,一直是一种被广泛使用的静脉注射短效麻醉剂。据报道,异丙酚除了有作为麻醉剂的好处外,还发挥许多非麻醉作用,包括免疫调节作用、镇痛作用、抗焦虑作用和神经保护特性。既往研究表明,异丙酚可以降低缺氧/再氧合-(H/R-)诱导的肌细胞、上皮细胞和神经元的细胞凋亡。研究中也提到了一些机制,如线粒体功能障碍、凋亡诱导因子易位和m-TOR通路。最近,异丙酚也被证明通过抑制钙超载来抑制大鼠海马神经元的凋亡。值得注意的是,异丙酚可以调节多种细胞内信号通路。异丙酚在海马神经元中的神经保护作用机制有待进一步探索。
YAP是一种受Hippo通路负调控的转录共激活因子,该通路最初被确定具有调节器官发育和大小的功能。随后的研究证实了YAP在中枢和外周神经系统的神经元增殖、存活、分化和神经发生中的作用。同时,调控YAP激活的细胞内信号通路也被广泛讨论。然而,海马神经元中YAP信号通路的细胞外调节因子和详细机制目前尚不清楚。目前,YAP的激活是由多种磷酸激酶和磷酸酶调控的。由于异丙酚可以调节磷酸激酶和磷酸酶的激活,我们推测异丙酚可能是通过激活YAP信号通路在I/R损伤中发挥神经保护作用。
模型构建:
利用体外缺氧复氧海马神经元模拟海马I/R损伤
目的:
①证实异丙酚通过减少钙调神经磷酸酶诱导的钙超载来防止海马神经元缺氧/复氧-(H/R-)诱导的细胞凋亡;
②探讨YAP信号通路在异丙酚减轻H/R诱导的海马神经元凋亡中的作用和机制;
③阐明海马神经元中钙调神经磷酸酶-钙通路与YAP信号通路之间是否存在串扰。
1.异丙酚可减轻缺氧复氧(H/R)诱导的海马神经元活力抑制和细胞凋亡。
2.异丙酚通过抑制钙调神经磷酸酶活性和FKBP12.6-RyR解离,减轻H/r诱导的细胞内钙积累和MMP损失。
3.下调YAP削弱异丙酚对H/R诱导海马神经元凋亡的保护作用。
4.异丙酚诱导HT-22细胞中YAP去磷酸化和核易位。
5.异丙酚通过RhoA-Lats1激活YAP。
6.海马神经元中钙调神经磷酸酶与YAP激活之间无相互作用。
1.异丙酚可减轻缺氧复氧(H/R)诱导的海马神经元活力抑制和细胞凋亡。

1. 经H/R处理后,海马神经元的细胞活力明显受到抑制,异丙酚显著提高了HT-22细胞的活力;
2. H/R显著提高了海马神经元的凋亡率,异丙酚处理后神经元的细胞凋亡受到抑制;
3. 凋亡标志物Bax、caspase-3和caspase-9的蛋白表达水平显著升高,经异丙酚处理后有所下降。
2.异丙酚通过抑制钙调神经磷酸酶活性和FKBP12.6-RyR解离,减轻H/r诱导的细胞内钙积累和MMP损失。

1. H/R处理显著增加了细胞内钙离子积累和MMP蛋白受损,异丙酚处理后减弱了这一情况;
2. H/R处理显著增加了钙调神经磷酸酶的活性,异丙酚则降低了钙调神经磷酸酶的活性;
3.co-IP检测发现,在H/R处理后大量FKBP12.6与RyR3解离,当神经元被异丙酚处理时,FKBP12.6分子被招募来与RyR3结合。
前期有研究发现钙超载是细胞凋亡的启动者,因此检测了H/R中不同浓度异丙酚的HT-22细胞内钙含量的变化。
3.下调YAP削弱异丙酚对H/R诱导海马神经元凋亡的保护作用。

使用shRNA建立了稳定的YAP低表达的HT-22细胞,实验表明YAP敲降显著削弱了异丙酚抑制H/R诱导的HT-22细胞凋亡。
4.异丙酚诱导HT-22细胞中YAP去磷酸化和核易位。

1. 异丙酚在HT-22细胞中诱导YAP去磷酸化,在4小时和15μM时效果最大;
2.异丙酚还能诱导YAP核易位;
3.异丙酚显著提高了Bcl2在mRNA和蛋白水平上的表达,survivin的表达无明显变化。(细胞存活相关基因)
5.异丙酚通过RhoA-Lats1激活YAP。

1. 异丙酚对HT-22细胞中的MST1/2的磷酸化没有明显影响,但对Lats1去磷酸化有显著的促进作用;
2.百日咳毒素(PTX,Gi蛋白抑制剂)、dn-Gq、dn-G12和dn-G13对异丙酚诱导的dpLats1和dpYAP无影响,异丙酚诱导的dpLats1和dpYAP在HT-22细胞中被Rho抑制剂C3转移酶和Rho激酶抑制剂Y27632消除;
3.RhoA对异丙酚诱导的dpLats1是必要的。
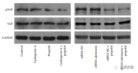
6.海马神经元中钙调神经磷酸酶与YAP激活之间无相互作用。

抑制钙调神经磷酸酶的表达和激活对YAP的激活没有影响,这表明钙调神经磷酸酶和YAP在异丙酚保护海马神经元免受H/R诱导的细胞凋亡中的独立作用。
异丙酚可以通过calcineurin/FKBP12.6-RyR/calcium超载通路和RhoA/Lats1/YAP/Bcl-2通路这两个独立的信号通路保护海马神经元免受I/R损伤。这项研究进一步支持了异丙酚对神经系统中I/R的潜在治疗作用。
不足:研究仅限于体外细胞实验,后续可进行动物实验进一步验证通路。

以上文献涉及的实验技术,均可在晶莱生物展开。
【晶莱生物】是一家专注于生物医学领域内科研学术服务的高新技术企业。拥有超3000平的综合实验室,有SPF级动物房,可构建200余种动物模型,拥有多个大型实验中心和生物资源库。可为您提供包括基因组学、细胞生物学、蛋白鉴定及分析、病理组化、表观遗传学、动物造模、药物研发等多个实验平台服务。