公司新闻/正文
1665 人阅读发布时间:2025-11-05 10:09

今天小编将常见的各类病理染色总结归纳,一起来看看这些病理实验的差异在哪里。
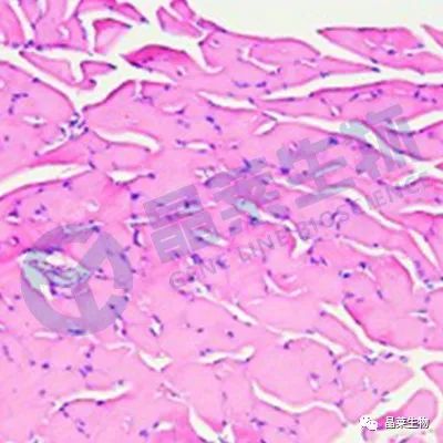
1. HE染色

应用:HE染色是最常用的组织学染色方法,可以用于观察组织结构、细胞形态和核染色质等。可用于病理诊断、评估组织损伤程度以及确定肿瘤类型等。
结果判断:细胞核呈蓝色或紫色,细胞质和其他组织结构呈粉红色。
样本检测:固定的组织切片,如肿瘤组织、器官组织等。
优缺点:简单易行,可以提供关于细胞形态学和组织结构的信息。缺点是不能提供特定蛋白质或分子的信息。
2. ICH染色

应用:ICH染色用于检测组织中特定蛋白质的表达情况,以确定细胞类型、肿瘤分级、预后评估和治疗靶点等。它可用于检测抗原在组织中的定位、数量和分布。
结果判断:阳性结果:可能呈棕色、黄色或红色,取决于使用的酶标记物或荧光标记物;阴性结果:无明显染色。
样本检测:组织切片。
优缺点:可以提供特定蛋白质的信息,包括表达和定位。然而,该方法依赖于抗体的选择和特异性,且结果可能受到抗体亲和性和交叉反应等因素的影响。
3. 免疫荧光

应用:免疫荧光染色也用于检测组织中特定抗原的表达和分布,通过荧光信号的观察来确定其位置和表达水平。主要应用于自身免疫性疾病的诊断、免疫反应的研究以及细胞定位等。
结果判断:荧光信号:根据使用的荧光标记物而有所不同。常见的颜色包括绿色(FITC标记物)、红色(Cy3标记物)、蓝色(DAPI染色核酸)等。
样本检测:固定的组织切片,肿瘤组织、器官组织等,以检测特定抗原的表达。
优缺点:提供蛋白质的表达和细胞定位信息,具有高灵敏度。然而,与ICH相似,抗体的选择和特异性对结果至关重要。
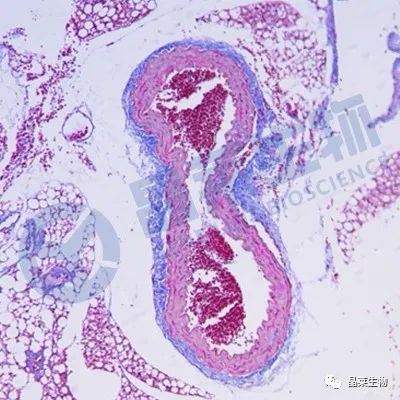
4. Masson染色

应用:Masson染色用于观察胶原纤维的分布和形态,常用于研究纤维组织增生、纤维化和肉芽肿等病理过程。
结果判断:胶原纤维染蓝色,细胞核和其他组织结构:染不同颜色,如细胞核呈黑色,肌纤维呈红色。
样本检测:固定的组织切片或细胞涂片,用于检测特定抗原或分子的表达和定位。
优缺点:可以提供关于纤维组织变化的信息。然而,结果可能受到染色剂选择和操作技术的影响。
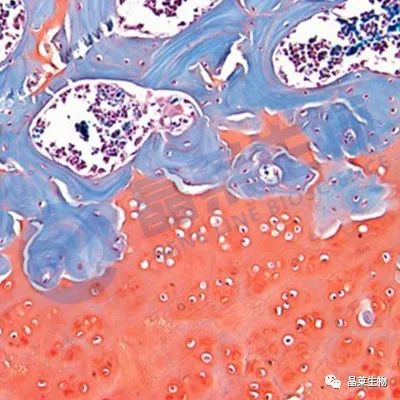
5. 天狼猩红染色
应用:天狼猩红染色主要用于染色骨髓涂片和神经组织切片,主要应用于评估铁过载病理、肝脏疾病等,以观察细胞核、细胞质、髓鞘等结构。
结果判断:使用天狼猩红作为染色剂,它可以与铁离子结合形成染色复合物,细胞核呈蓝色,细胞质和髓鞘呈红色或粉红色。
样本检测:常用于神经组织或骨髓涂片的染色。
优缺点:可以提供关于组织中铁离子沉积的信息,对于诊断铁过载疾病具有重要意义。然而,该方法不能区分不同类型的铁沉积。
6. PAS糖原染色

应用:PAS糖原染色用于检测组织或细胞中的糖原含量和分布情况。常用于评估肝脏、肾脏、肌肉等器官的糖原沉积和代谢异常。
结果判断:糖原呈紫色或洋红色,细胞核和其他组织结构呈不同颜色,如细胞核呈蓝色。
样本检测:适用于检测组织中的糖原含量和分布,如肝脏、胰腺等。
优缺点:可以提供关于组织中糖原含量和分布的信息,对于研究糖代谢异常和肝脏疾病等具有重要意义。然而,该方法不能区分不同类型的多糖。
7. TUNEL染色

应用:用于检测细胞凋亡(程序性细胞死亡)的发生情况。通过特异性地标记DNA断裂末端,以显示细胞内的凋亡现象。
结果判断:阳性结果呈现明显的核染色(通常为深褐色或黑色),反映细胞内DNA断裂的存在。阳性反应表示细胞内存在DNA断裂,即细胞发生了凋亡。观察样本中的细胞核,如果出现明显的深褐色或黑色染色,则表示该细胞发生了凋亡;而未染色或仅染浅色的细胞则被视为阴性。
适用样本:固定的组织切片或细胞涂片,可用于检测各种组织和细胞类型中的凋亡现象。
优缺点:优点是简单易行,能够定量和定位细胞凋亡事件。缺点是不能提供关于凋亡方式的详细信息,如凋亡的具体机制或类型。
8. 番红固绿染色

应用:用于组织学检查和病理诊断,可显示细胞、组织的形态结构、核分裂和病变情况。
结果判断:不同细胞和组织结构呈现特定颜色,如细胞核呈蓝色,细胞质和纤维结构呈粉红色或橙红色等。可以根据不同的颜色和形态特征来识别不同类型的细胞、组织结构以及病变情况。例如,细胞核常呈蓝色,而细胞质和纤维结构则呈粉红色或橙红色。
适用样本:固定的组织切片,广泛应用于各种器官和病理学研究中。
优缺点:优点是提供有关组织结构和细胞类型的详细信息,常用于常规组织学和病理诊断。缺点是对于某些特殊结构或细胞类型的详细描述可能相对较少。
7. β-半乳糖苷酶染色
应用:β-半乳糖苷酶染色主要用于检测细胞内β-半乳糖苷酶的活性,常用于研究基因表达、细胞老化和肿瘤转移等过程。
结果判断:根据染色后显示出蓝色或绿色沉积物的细胞或组织来判断β-半乳糖苷酶的活性。阳性结果显示蓝色或绿色,而阴性结果则无明显染色。
样本检测:固定的细胞或组织样本,常用于研究基因表达、转导实验或体外操纵。
优缺点:优点是能够直接观察到β-半乳糖苷酶的活性。缺点是染色结果可能受到非特异性反应的干扰,需要注意控制实验条件。
总结:
不同的病理染色实验具有不同的应用和用途,可以提供对组织结构、蛋白质表达、纤维组织、糖原含量等方面的信息。
结果判断标准根据染色后的颜色、形态、分布来进行评估。
适用样本也因染色方法的不同而有所区别,常见的样本包括固定的组织切片、细胞涂片等。
每种染色方法都有其优点和限制,需要根据具体需求选择合适的方法,并注意控制实验条件以获得可靠的结果。
关于晶莱

晶莱生物创立于2016年,拥有北京(北京晶莱华科生物技术有限公司)及长沙(湖南晶莱生物技术有限公司)两个研发机构,是专注于生物医药临床期前研发与基础医学科研服务的国家高新技术企业及专精特新企业。依托北京、长沙两地的3000余平实验平台,晶莱构建了8个研究平台,可为客户提供包括临床前CRO、动物寄养、动物模型构建、细胞型构建、药效及各类表型、机制、通路等全方位的研究服务。
截至目前,晶莱生物已与国内超过500家生物医药公司、高校及医院建立了紧密的合作关系,成功实施了10000余项研究/研发项目,积累了超过100000+客户。
