公司新闻/正文
3356 人阅读发布时间:2025-11-04 14:47

HT22细胞系作为小鼠海马神经元细胞系,是体外研究谷氨酸毒性的良好模型,HT22细胞主要用于神经退化性疾病的研究,如阿尔茨海默病和帕金森病。
在神经退化性疾病的研究中,HT22细胞系具有以下具体应用:
① 药物筛选:HT22细胞系可以用于筛选能够保护神经元免受谷氨酸毒性影响的药物或化合物,从而开发出潜在的治疗神经退化性疾病的药物。
② 病理机制研究:通过观察HT22细胞系在谷氨酸毒性条件下的反应和变化,可以深入了解神经退化性疾病的病理机制,从而为疾病的预防和治疗提供新的思路。
③ 基因和蛋白质表达研究:HT22细胞系可以用于研究与神经退化性疾病相关的基因和蛋白质的表达和功能,进一步揭示疾病的发病机制。
④ 细胞疗法研究:HT22细胞系也可以用于研究基于细胞的神经退行性疾病治疗方法,例如通过移植或基因修饰来改善神经元的生存和功能。
甲醛(Formaldehyde,FA)是一种常见的装修型化学性室内空气污染物,也是一种生物内源性有机化合物。
甲醛是毒性很强的有机化合物,进入机体后,主要是损害细胞的核酸,造成不同水平遗传物质的损害;也可与体内蛋白质的氨基结合,改变蛋白质的内部结构并使其丧失活性,扰乱机体细胞的正常生理功能。
1. 实验材料
① 实验细胞:HT22细胞;
② 器械:超净工作台、CO2培养箱、生物倒置显微镜、台式低速离心机;
③ 试剂:0.25% 胰蛋白酶、双抗、胎牛血清、PBS、DMEM培养基、甲醛。
2. 实验方法

① 用细胞完全培养基稀释甲醛;
② 细胞铺板24h后,弃上清分别加入含不同浓度甲醛的培养液;
③ 37℃ 5%CO2培养箱继续孵育;
④ 检测相应炎症和凋亡指标。
3. 评价方法


3.1氧化损伤指标
① ELISA检测细胞炎症因子表达(IL-1、IL-6、IL-18、TNF-α等);
② 试剂盒检测ROS、LDH、SOD、MDA等;
③ 流式/免疫荧光检测ROS、JC-1等;
④ PCR/WB检测炎症因子基因和蛋白水平的表达等。
3.2 凋亡评价指标
① 流式检测细胞凋亡;
② TUNEL检测细胞凋亡;
③ WB检测凋亡相关蛋白的表达。
4. 经验总结
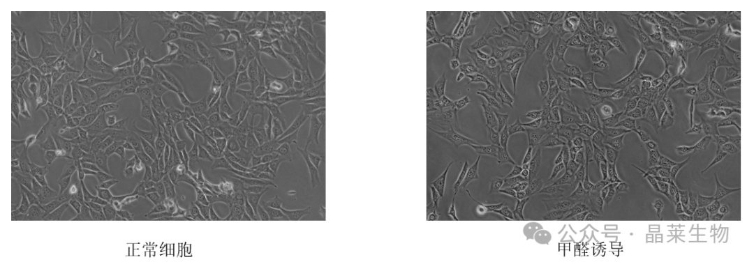
① 甲醛诱导HT22损伤,可显微镜下观察细胞形态与状态是否发生变化,诱导时间在48h内即可出现明显损伤;甲醛作用浓度与时间还需以具体实验为准。
② 甲醛是致癌有机物,操作需谨慎,废液需收集再做处理。
高浓度的乙醇可使细胞脱水、蛋白质变性和凝固。
低浓度的乙醇对细胞的损伤主要表现为:
①破坏细胞线粒体和微粒体的电子传递系统,损害其合成 ATP 的功能,激发脂质过氧化,使细胞生物膜的流动性改变;
②导致细胞基因组 DNA 断裂,抑制DNA 修复酶的功能。乙醇对肝细胞、粘膜和腺上皮细胞、淋巴细胞、巨噬细胞、成骨细胞、神经细胞和白血病细胞等均有诱导凋亡的作用。
1. 实验材料
① 实验细胞:HT22细胞
② 器械:超净工作台、CO2培养箱、生物倒置显微镜、台式低速离心机
③ 试剂:0.25% 胰蛋白酶、双抗、胎牛血清、PBS、DMEM培养基、乙醇。
2. 实验方法

① 用细胞完全培养基稀释乙醇;
② 细胞铺板24h后,弃上清分别加入含不同浓度乙醇的培养液;
③ 37℃ 5%CO2培养箱继续孵育;
④ 检测相应炎症和凋亡指标。
3. 评价方法


3.1氧化损伤指标
① ELISA检测细胞炎症因子表达(IL-1、IL-6、IL-18、TNF-α等);
② 试剂盒检测ROS、LDH、SOD、MDA等;
③ 流式/免疫荧光检测ROS、JC-1等;
④ PCR/WB检测炎症因子基因和蛋白水平的表达等。
3.2 凋亡评价指标
① 流式检测细胞凋亡;
② TUNEL检测细胞凋亡;
③ WB检测凋亡相关蛋白的表达。
4. 经验总结
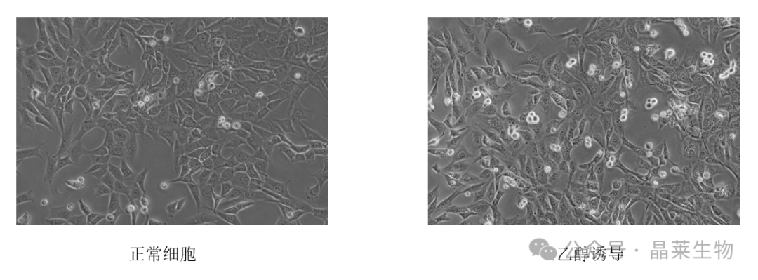
① 乙醇诱导HT22损伤,可显微镜下观察细胞形态与状态是否发生变化,诱导时间在48h内即可出现明显损伤;乙醇作用浓度与时间还需以具体实验为准。
② 乙醇诱导HT22损伤模型中,作用时间较短,细胞仅出现少量空泡,长期诱导可能会出现大量空泡,空泡是否为脂肪还有待进一步验证。
H2O2作为活性氧类物质之一,不仅极易透过细胞膜,与细胞内铁离子反应生成高活性自由基,而且易于获得,性质稳定,已成为国内外研究各类细胞氧化损伤的重要工具。
氧化应激是指机体内氧自由基的产生与清除失去平衡,或外源性的过量摄入导致活性氧(ROS)在体内堆积引起细胞毒性。
神经元对ROS攻击特别敏感,正常情况下,神经组织内ROS的生成和消除处于动态平衡状态。当各种不良因素作用ROS生成系统,使ROS生成过多或干扰抗氧化防御系统功能,使ROS消除障碍时,这种动态平衡遭到破坏,ROS过量,随后神经系统的结构与功能受到破坏。
1. 实验材料
① 实验细胞:HT22细胞;
② 器械:超净工作台、CO2培养箱、生物倒置显微镜、台式低速离心机;
③ 试剂:0.25% 胰蛋白酶、双抗、胎牛血清、PBS、DMEM培养基、H2O2。
2. 实验方法

① 用细胞完全培养基稀释H2O2母液;
② 细胞铺板24h后,弃上清分别加入含不同浓度H2O2的培养液;
③ 37℃ 5%CO2培养箱继续孵育;
④ 检测相应炎症指标。
3. 评价方法

① ELISA检测细胞炎症因子表达(IL-1、IL-6、IL-18、TNF-α等);
② 试剂盒检测ROS、LDH、SOD、MDA等;
③ 流式/免疫荧光检测ROS、JC-1等;
④ PCR/WB检测炎症因子基因和蛋白水平的表达;
⑤ 流式检测线粒体损伤指标等。
4. 经验总结
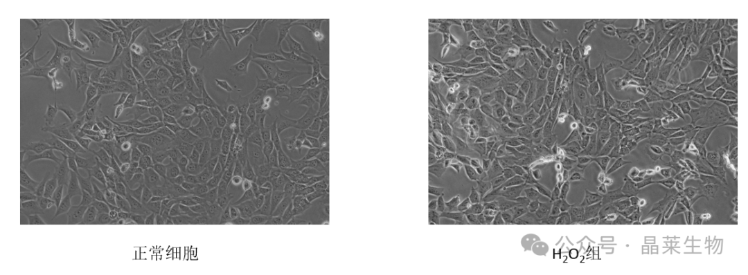
① H2O2氧化损伤能力极强,要用培养基将其稀释后再作用于细胞,且作用时间不宜过长,作用浓度与时间还需以具体实验为准;
② 常规细胞活率检测不一定能选出最适宜造模浓度,但可作为参考,需同时检测多个炎症指标去评估造模是否成功。
晶莱生物为研发者提供细胞培养、细胞增殖、细胞周期、细胞凋亡、细胞运动、细胞克隆等多种细胞实验服务,可直接用于相关体外细胞模型研究。

关于晶莱

晶莱生物创立于2016年,拥有北京(北京晶莱华科生物技术有限公司)及长沙(湖南晶莱生物技术有限公司)两个研发机构,是专注于生物医药临床期前研发与基础医学科研服务的国家高新技术企业及专精特新企业。依托北京、长沙两地的3000余平实验平台,晶莱构建了8个研究平台,可为客户提供包括临床前CRO、动物寄养、动物模型构建、细胞型构建、药效及各类表型、机制、通路等全方位的研究服务。
截至目前,晶莱生物已与国内超过500家生物医药公司、高校及医院建立了紧密的合作关系,成功实施了10000余项研究/研发项目,积累了超过100000+客户。
