公司新闻/正文
6075 人阅读发布时间:2025-11-04 15:56

实验原理
油红O是很强的脂溶剂和染脂剂,较易与甘油三脂结合呈小脂滴状,与磷脂结合力稍差。
染色原理:主要通过物理上的溶液作用或吸附作用,借溶液作用使脂肪染色。染料在冰冻切片内脂质的溶解度较在原溶剂中的溶解度更大,所以在染色时染料就从有机溶剂转移入脂质而使脂肪染色。
油红O染色方法可用于检测组织或细胞中脂肪油滴的存在和数量,尤其适用于脂质代谢疾病的研究。
实验指南
样本准备:选择细胞或组织样本。确保样本是新鲜的,保存在冰箱或液氮中。
样本固定:用4%的多聚*醛或其他合适的固定行固定样本,保证固定剂浓度充足并确保完全固定。
化学处理:将固定的标本进行化学处理,以去除其内部的脂质和其他物质。常用方法是将样本用80%的乙醇浸泡。
染色:在油红O染色液中将标本浸泡,时间可以根据需要自行决定。将标本移入去离子水或其他适合的缓冲液中冲洗,使其达到理想的染色效果。
显微镜检查:将标本放在显微镜下检查。您应该能够看到样本中的脂肪油滴,它们应该呈现出红色。
油红O染色应用
1. 显示组织内的脂肪。
2. 动脉粥样硬化(AS)动物模型评价:AS模型主动脉整体油红O染色评价,油红O染色不仅可以有效直观地反应整根主动脉的AS病变程度,而且可以评价血管局部不同部位AS斑块的病变情况。
3. 脊髓损伤动物模型评价:油红O染色能够较明显的区分白质及灰质,在一定程度上反映了白质的完整程度。断端坏死灶内油红0染色随脊髓损伤时间的延长逐渐明显,能够反映脂质在脊髓损伤过程中起着重要作用。
4. 斑马鱼肝脏组织病理鉴定:此油红O染色技术可以用来鉴定肝脏组织脂肪沉积情况,具有细胞定位功能作用,有助于判断及定性疾病。
5. 斑马鱼肝脏组织病理鉴定
在使用油红O对斑马鱼整鱼进行染色时,有几点需要注意:
① 油红O工作液应新鲜配制,且须使用微孔滤器过滤后才可用于染色,否则染液易形成沉淀,附于斑马鱼体表而影响观察。
② 染色前斑马鱼的固定非常重要,固定不好易发生脂质丢失,甚至鱼体变质、碎裂,多聚*醛应于每次使用前新鲜配制,放入冰箱待冷却至4摄氏度再使用。
③ 不同生长阶段的斑马鱼有不同的油红O染色策略:
l-6dpf的斑马鱼由卵黄囊提供脂质,体内脂质含量高,可按照本文介绍的方法直接进行油红O染色;
7-14dpf的斑马鱼卵黄囊已消失,体内脂质水平低,如需研究血管内脂质应先予以高脂饮食(如蛋黄等);
14dpf以上的斑马鱼体表色素较多,身体逐渐不透明,因此整鱼染色已不再适合,可将斑马鱼冰冻切片后再行染色。
6. 动脉粥样硬化(AS)动物模型评估:
主动脉整体油红O染色是评价AS病变程度的公认标准。
油红O染色不仅可以有效直观地反应整根主动脉的AS病变程度,而且可以评价血管局部不同部位AS斑块的病变情况,从而为评估药物对AS的疗效提供有力证据。
油红O染色是评价AS病变注意事项:
①显微镜下完全摘除主动脉表面附着的油脂,避免多余脂肪造成油红O染色的假阳性以影响斑块测定。
②表面油脂清理干净后再将主动脉从脊柱上游离下来的剥离顺序可防止主动脉断裂。纵向剖开主动脉时需确保髂动脉端未剪断以方便操作,最终剪断左、右髂动脉游离整根主动脉。此方法可获得升主动脉至髂动脉的整根主动脉,使后续油红O染色评价更准确稳定。
实验操作分享
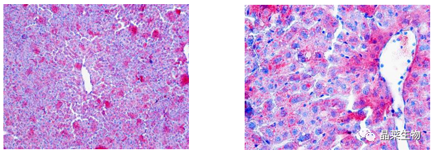
1. 油红O染色检测结果分析:
① 中性脂肪:橙红色或鲜红色
② 细胞核:蓝色

(肝脏组织油红O染色结果)
2. 传统油红O染色操作:
① 冰冻切片厚度6~10µm,不固定或10%福尔马林固定10min后水洗。
② 切片入蒸馏水中稍冲洗3道;切片入60%的乙醇内浸洗20~30s。
③ 切片入油红O染色液中(油红O储备液与双蒸水为3:2混合后,装入洁净EP管静置10min),加盖密闭染色10~15min,该过程注意避光。
④ 分色:入60%的乙醇内稍洗以便去除染液。入蒸馏水中清洗3次。
⑤ Mayer苏木素染色液复染核1~2min。
⑥ 1%的盐酸溶液稍微分化一下。
⑦ 自来水漂洗10min或稀碳酸锂溶液中促蓝。
⑧ 将切片放于60℃烘箱中进行干燥。
⑨ 甘油明胶或阿拉伯糖胶封固。
⑩ 采图。(染色结果不能长期保存,应尽快观察及照相)
3. 针式滤膜过滤器油红O染色法
① 常规冷冻切片将高脂小鼠肝脏样本切片6~8µm厚,贴于载玻片。
② 固定:置于10%中性福尔马林固定3min,双蒸水清洗。
③ 取油红O储备液与双蒸水为1:1混合,装入洁净EP管内备用。
④ 将切片从水中取出沥水后平铺于湿盒内,注意不要干片。
⑤ 用注射器吸取配制好的油红O染液,由针式滤膜过滤器(0.22斗m)上端接口处注入,过滤后的染液直接经过滤器下端均匀滴染在组织处,约30s后放入双蒸水中清洗1次。
⑥ 苏*精复染1min,1%盐酸乙醇分化,流水返蓝3min;
⑦ 甘油明胶封固。
4. 注意事项
① 石蜡切片不能用于油红O染色,原因在于石蜡包埋过程中需要脱水,脱水过程中需要乙醇-二J苯和石蜡,二J苯是有机溶剂,会把中性脂肪溶解。
② 冰冻切片准备时,包埋的降温过程建议选择干冰,原因在于若选择液氮降温过程较强烈,可能导致组织内部炸裂,而干冰降温的过程比较缓和,染出来的片子比较好看。
③ 实验设计建议设计阴性对照和阳性对照,如阳性对照可以用脂质丰富的肝脏组织等,阴性对照可以根据文献来选择无脂肪沉积的组织等等。
关于晶莱

晶莱生物创立于2016年,拥有北京(北京晶莱华科生物技术有限公司)及长沙(湖南晶莱生物技术有限公司)两个研发机构,是专注于生物医药临床期前研发与基础医学科研服务的国家高新技术企业及专精特新企业。依托北京、长沙两地的3000余平实验平台,晶莱构建了8个研究平台,可为客户提供包括临床前CRO、动物寄养、动物模型构建、细胞型构建、药效及各类表型、机制、通路等全方位的研究服务。
截至目前,晶莱生物已与国内超过500家生物医药公司、高校及医院建立了紧密的合作关系,成功实施了10000余项研究/研发项目,积累了超过100000+客户。
