公司新闻/正文
4192 人阅读发布时间:2025-11-04 15:16

小胶质细胞是脑内主要的免疫效应细胞,约占脑内全部胶质细胞的5%,是定居在脑内的吞噬细胞,具有内源性免疫防御功能。其活化后所介导的炎症反应会导致神经元逐渐退化甚至死亡,最终导致脑部疾病。
小胶质细胞与脑缺血/再灌注损伤、阿尔茨海默症、帕金森病、神经病理性疼痛等其他中枢神经系统疾病的发生、发展过程紧密相关。
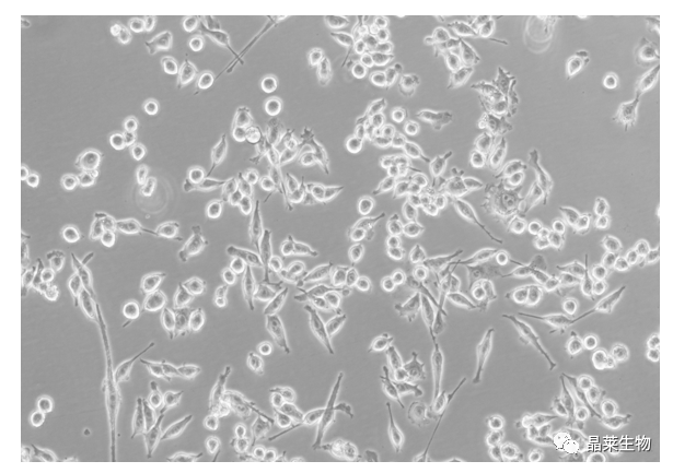
细胞特点:小鼠小胶质细胞(BV2)为上皮细胞样生长的半贴壁半悬浮细胞。

常见的小胶质细胞培养方法主要有胰酶消化法、差速贴壁法、营养剥夺法、低速震摇法、手动振摇法以及利多卡因处理法。
1.免疫调节
2.神经回路建立
3.多巴胺能神经元轴突生长发育及迁移
4.突触密度与稳态
神经炎症和免疫调节研究:利用BV2细胞进行神经炎症研究时,需要注意细胞的活性和纯度,以及选择适当的刺激因素和检测方法。关注BV2细胞在炎症环境下可能出现的形态和功能变化,以便更准确地模拟和解释实验结果。
神经退行性疾病研究:在阿尔茨海默病、帕金森病等神经退行性疾病中,BV2细胞可以分泌炎症因子和神经毒性物质,导致神经元死亡。进行此类研究时,需要注意细胞的来源和鉴定,以及模拟疾病模型的实验条件。关注BV2细胞在疾病模型中的表型变化和功能异常,以便更准确地模拟和解释实验结果。
药物筛选和毒性测试:BV2细胞可用于药物筛选和毒性测试,以发现具有潜在治疗作用的药物或筛选出对神经系统有害的药物。进行药物筛选时,需要注意药物的浓度和作用时间,以及选择适当的检测方法和评价指标关注BV2细胞在不同药物刺激下的反应差异和特异性。
1. 模型建立
① Control 组 (BV2细胞);
② Model组(BV2细胞血清饥饿4h + IFNγ(10ng/mL)+ LPS(10ug/mL)共48h。
其他造模方法:(不同生长因子、不同干预浓度、不同诱导时间)
① LPS
② LPS + IFNγ
③ IL-4
④ IL-4 + IL-10
⑤ TNF-α + IFNγ + IL-1β
......
2. 操作注意事项
①培养体系:DMEM培养基, 10%胎牛血清,1% P/S。
②培养条件:气相:空气,95%;CO2,5%;温度:37℃。
③传代比例:1:2-1:4。
④传代方式:悬浮细胞直接吹打收集,贴壁细胞胰酶消化3-5分钟。
⑤换液频率:每1⁓2d换液一次。
⑥冻存条件:无血清细胞冻存液;温度:液氮。
3.模型评价
① 形态学观察
激活的BV-2小胶质细胞胞体增大、突起变短、细胞形态呈圆形或杆状;进一步被激活时,细胞突起消失、细胞形态呈阿米巴状。

(胞体增大、突起变短或消失,细胞形态呈圆形或杆状)
② 确定极化类型(M1 、M2)
Elisa检测TNF-α、IL-12、IL-10;

与C组相比,M组TNF-α、IL-12上升、IL-10无显著变化,即为M1型极化;
与C组相比,M组TNF-α、IL-12无显著变化、IL-10上升,即为M2型极化。
流式检测CD80、CD86、CD206、CD163

4. 风险评估
1、不同细胞造模成功率会有差异,此模型药物干预浓度、时间等均可根据实际结果进行优化;
2、不同生长因子导致的极化类型不一样,需合理选择检测指标。
关于晶莱

晶莱生物创立于2016年,拥有北京(北京晶莱华科生物技术有限公司)及长沙(湖南晶莱生物技术有限公司)两个研发机构,是专注于生物医药临床期前研发与基础医学科研服务的国家高新技术企业及专精特新企业。依托北京、长沙两地的3000余平实验平台,晶莱构建了8个研究平台,可为客户提供包括临床前CRO、动物寄养、动物模型构建、细胞型构建、药效及各类表型、机制、通路等全方位的研究服务。
截至目前,晶莱生物已与国内超过500家生物医药公司、高校及医院建立了紧密的合作关系,成功实施了10000余项研究/研发项目,积累了超过100000+客户。
