技术资料/正文
704 人阅读发布时间:2022-08-01 16:42
Inhibiting Microglia-Derived NLRP3 Alleviates Subependymal Edema and Cognitive Dysfunction in Posthemorrhagic Hydrocephalus after Intracerebral Hemorrhage via AMPK/ Beclin-1 Pathway
通过 AMPK/Beclin-1 通路抑制小胶质细胞衍生的 NLRP3 可缓解脑出血后出血后室管膜下水肿和认知功能障碍

期刊名称 Oxid Med Cell Longev
影响因子 7.310
发布时间 2022.5.17
研究背景
对于出血后脑积水 (PHH) 患者,是否发生室管膜下水肿结果表明不佳,部分表现为认知障碍。在大脑中,主要来自小胶质细胞/巨噬细胞的NLRP3炎症小体参与出血后的促炎和神经衰竭,自噬对神经元稳态和功能至关重要。越来越多的证据表明,NLRP3炎症小体和自噬在脑出血(ICH)后起着至关重要的作用。本文旨在剖析室管膜下水肿形成和认知功能障碍的潜在机制。
在ICH-IVH的急性期,小胶质细胞/巨噬细胞的NLRP3炎性小体的表达和神经元的自噬都上调。小胶质细胞/巨噬细胞中激活的NLRP3促进了IL-1β向细胞外的释放,这导致了过度的自噬,导致神经元通过AMPK / Beclin-1途径结合转录组学在体内和体外凋亡。ICH-IVH后给予MCC950(NLRP3炎症小体特异性抑制剂)可显着减少水肿形成并改善认知功能障碍。
因此,抑制SVZ中的NLRP3激活可能是PHH患者的一种有前途的治疗策略,需要进一步研究。
研究科学问题
探讨ICH-IVH后室管膜下水肿形成相关认知功能障碍的机制。
研究科学问题
1、抑制NLRP3可减轻神经功能缺陷,尤其是ICH-IVH的认知功能障碍。
2、抑制NLRP3炎症小体减少ICH-IVH后室管膜下水肿。
3、MCC950抑制小胶质细胞/巨噬细胞衍生的NLRP3炎症小体在SVZ中的活化。
4、NLRP3抑制防止SVZ中ICH-IVH后神经元过度自噬介导的细胞凋亡。
5、NLRP3上调神经元自噬通过AMPK/Beclin-1通路结合转录组学。
6、IL-1β加速到神经元 PC12细胞中过度自噬和凋亡。
研究结果及分析
1、抑制NLRP3可减轻神经功能缺陷,尤其是ICH-IVH的认知功能障碍


旷场实验(测试焦虑)
根据先前的研究,ICH-IVH大鼠表现出严重的运动功能障碍。为了确定NLRP3炎症小体抑制剂MCC950是否影响ICH-IVH大鼠的认知功能,通过旷场实验和ICH-IVH后第3天的水迷宫测试评估认知功能。
与假手术组相比,ICH-IVH大鼠有明显的认知功能障碍,根据旷场实验结果,运动活动减少,MCC950治疗组减少了出血后的认知和运动功能障碍。

ICH-IVH后的空间和识别记忆以及自发运动行为评估,并用MCC950抑制NLRP3炎症小体。
使用水迷宫测试进一步评估认知功能,在训练阶段没有小组差异来寻找隐藏的平台(e图)。
在空间记忆探针试验期间具有代表性的游泳路径,表明与ICH-IVH大鼠相比,接受MCC950处理的ICH-IVH大鼠在前平台位置上进行了更多的交叉(d图)。
并且在目标象限中花费了更多的游泳时间(f图),表明空间记忆障碍得到改善,评估认知功能的结果与旷场测试相同。至于运动功能障碍,转角测试用于评估脑出血后的不对称性行为学测试,结果显示抑制NLRP3改善了脑出血后的运动缺陷(g图)。
这些发现表明MCC950给药可以改善脑出血后NLRP3炎症小体依赖性神经功能障碍,特别是空间记忆缺陷。
2、抑制NLRP3炎症小体减少ICH-IVH后室管膜下水肿

(a)T2加权图像和伪彩色图像显示不同组3天时室管膜下水肿。
(b)各种治疗后大脑不同部位的脑含水量。
(c) 根据MRI图像对脑室下区脑水肿体积进行定量分析。

(d)脑室下区组织的HE染色图像显示水肿和毛细血管状况(上)所有3组毛细血管的透射电镜图像(下)。
(e) 在毛细血管中表达的 ZO-1 的代表性图像 (CD31)。
(f) 蛋白质印迹图像和分析结果显示不同组的ZO-1在SVZ(脑室下区)中的表达。
ICH-IVH 介导的脑积水和 MCC950 治疗后的室管膜下水肿评估。脑积水后发生的水肿完全是非血管源性水肿,NLRP3的抑制降低了SVZ的水肿。
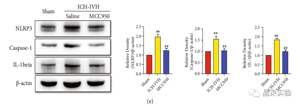
3、MCC950抑制小胶质细胞/巨噬细胞衍生的NLRP3炎症小体在SVZ中的活化



NLRP3炎小体和相关的细胞因子表达在SVZ中ICH-IVH和MCC950治疗后小胶质细胞/巨噬细胞。
(a) SVZ中IL-1β和半胱天冬酶-1阳性细胞的代表性图像。
(b) SVZ 中 IL-1β 和半胱天冬酶-1 阳性细胞的统计结果。
(c) SVZ中Iba1和CD68阳性细胞上表达的NLRP3的双重免疫荧光染色的照片。(d) SVZ 中 NLRP3 阳性小胶质细胞/巨噬细胞的计数结果。
e)蛋白质印迹图像和分析结果显示,MCC950治疗后3天NLRP3、半胱天冬酶-1和IL-1β的表达情况。
NLRP3炎性小体在小胶质细胞/巨噬细胞中激活并释放细胞因子可能是SVZ中ICH-IVH后导致脑水肿的原因。
4、NLRP3抑制防止SVZ中ICH-IVH后神经元过度自噬介导的细胞凋亡


自噬通量变化介导的神经元在SVZ中ICH-IVH和MCC950治疗后退化和凋亡。
(a) SVZ中Atg5和p62阳性神经元的代表性免疫荧光染色图像。
(b)蛋白质印迹图像和分析结果显示自噬蛋白Atg5,LC3B和p62在接受MCC950或盐水的ICH-IVH大鼠的SVZ中表达。
(c)ICH-IVH和MCC950治疗后SVZ神经元的FJC染色和TUNEL染色图像
(d)ICH-IVH和MCC950治疗后SVZ神经元的FJC染色和TUNEL分析结果
(e)位于SVZ的神经元的TEM图像显示微观结构和水肿。
基于这些结果,证明抑制小胶质细胞/巨噬细胞中NLRP3炎症小体表达可以减少脑水肿并下调神经元自噬以保护SVZ的神经功能。
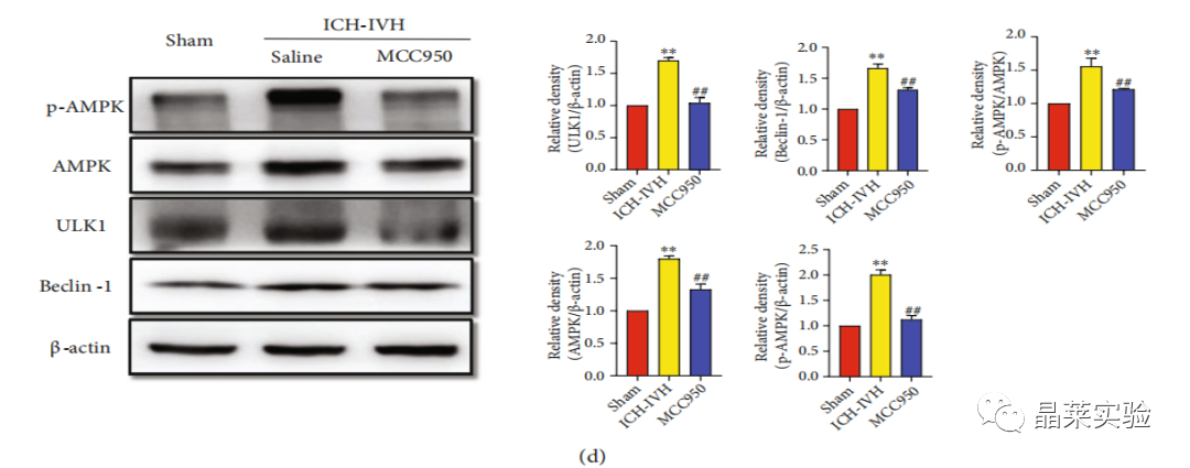
5、NLRP3上调神经元自噬通过AMPK/Beclin-1通路结合转录组学


SVZ组织的转录分析确定AMPK / ULK1 / Beclin-1是小胶质细胞/巨噬细胞衍生的NLRP3炎症小体和神经元过度自噬介导的ICH-IVH后凋亡的潜在途径。
(a)火山样图显示ICH-IVH和MCC950处理后第3天SVZ存在差异表达基因
(b) PCA为假组和ICH-IVH组之间的每个样品鉴定的明显不同的表达基因的热图。
(c)热图显示,ICH-IVH处理后MCC950处理或未有明显不同的表达基因。数据在GENE中分层聚类,并根据行最小值和最大值着色。
(d) AMPK/ULK1/Beclin-1 通路的代表性蛋白质印迹图像和定量分析结果。
基于上述结果,推测NLRP3炎症小体可能通过AMPK / Beclin-1途径介导神经元凋亡,AMPK / Beclin-1途径也可以调节自噬。此外,转录组测序结果也支持之前的结论。
6、IL-1β加速到神经元 PC12细胞中过度自噬和凋亡



IL-1β上调神经元自噬和凋亡,抑制自噬可以减少IL-β介导的神经元凋亡,IL-β在NLRP3激活后释放。
(a)Atg5和p62阳性PC12细胞的代表性免疫荧光染色图像。
(b) PC12 细胞的免疫荧光 TUNEL 染色图像,以及不同处理后 TUNEL(+) 细胞的统计结果。
(c)PC12细胞中LC3B和p62表达的代表性蛋白质印迹图像,以及IL-1β和化合物C处理后LC3B-II:LC3B-I比值和p62的统计结果。
(d)流式细胞术的代表性图像和统计结果显示,IL-1β和化合物C处理后的早期/晚期凋亡细胞。
文献结论

本研究表明,小胶质细胞/巨噬细胞中NLRP3炎性小体活化加重了SVZ中ICH-IVH后水肿形成和神经元凋亡,并且通过AMPK / Beclin-1信号通路上调自噬介导神经元凋亡,NLRP3相关的细胞外细胞因子IL-1β有助于这一过程。
因此,抑制NLRP3激活可能是一种潜在的治疗策略,可以减少室管膜下水肿,以改善出血后脑积水患者管理中的认知功能。
文献总结
局限性:
局限一:NLRP3在炎症反应中起多功能作用,NLRP3炎性小体在多种神经细胞中被激活。需要进一步研究NLRP3抑制在ICH-IVH后继发性脑损伤中的神经保护作用的其他机制。
局限二:由于NLRP3不仅像我们的免疫荧光染色所显示的那样在小胶质细胞/巨噬细胞上表达,有必要进一步研究NLRP3在其他中枢神经系统(CNS)细胞(如星形胶质细胞)中的作用。
局限三:我们发现NLRP3激活可以调节室管膜下水肿的形成,但NLRP3介导细胞的特定机制,以及非血管源性间质性水肿仍有待研究。
局限四:应更深入地评估神经元自噬在出血后如何影响神经元功能以及与NLRP3相关的相关机制。
最近的研究和我们目前的研究已经证明了使用MCC950抑制NLRP3表达的有效性。但是,MCC950的作用时间和稳定性非常有限。本研究仅关注ICH-IVH后SVZ的早期病理生理学变化(3天),进一步研究需要更长的时间研究。同时,NLRP3对特定细胞类型的影响需要更精确的基因编辑技术。
文献涉及的实验技术

关于晶莱
晶莱生物(Geneline Bioscience)是一家专注于生物医药研发与基础医学研究服务的高新技术企业。可开展生物医药临床前非GLP的CRO服务,基础医学研究技术服务,医学成果转化服务,类器官、细胞、动物模型等产品研发业务。目前已在北京、上海、长沙开设公司并建立多个综合实验室,共建设有3000余平实验平台(含SPF动物实验平台、生化病理检测实验平台、细胞/类器官实验平台),组建了数十名来自全球知名高校的硕博研究生研发团队。可开展小鼠、大鼠、豚鼠、地鼠,兔,犬、猪、猴、相关的动物实验,可构建200余种动物疾病模型,为生物医药公司、高校、医药搭建了多管线研发服务平台。
与国500+生物医药公司、高校及医院建立合作,成功开展10000+研究/研发项目,服务超8000+客户。

晶莱生物业务覆盖:为生物医药公司提供CRO服务:临床前非GLP药理药效实验、药物筛选、药物代谢、安全性评价。为高校及医院提供体内外机制研究、功能学研究、各类体内外研究模型构建、模型评价、通路机制验证、生化病理检测等生命科学实验与基础医学实验。为高校及医药公司提供生物医学科技成果转化服务,链接上游下生物医药企业、投资机构等进行科研成果转化服务。研发标准化及工程化细胞、动物、类器官模型产品,助力生物医学发展及精准医学发展。
